ULifeStyle
HK
Travel
Food
Beauty
Blog
e-zone
  • 會員登入/ 登記
  • 主頁
  • 深圳
  • 日本
    • 東京
    • 大阪
    • 京都
    • 神戶
    • 奈良
    • 福岡
    • 沖繩
    • 札幌
    • 名古屋
    • 熊本
    • 箱根
    • 伊豆
    • 鳥取
    • 輕井澤
  • 台灣
    • 台北
    • 台中
    • 高雄
    • 墾丁
    • 台南
    • 宜蘭
    • 台東
    • 南投
  • 韓國
    • 首爾
    • 濟州島
    • 釜山
  • 全球
    • 中國
    • 北京
    • 上海
    • 深圳
    • 廣州
    • 珠海
    • 澳門
    • 泰國
    • 曼谷
    • 蘇梅島
    • 布吉
    • 清邁
    • 芭堤雅
    • 華欣
    • 新加坡
    • 新加坡
    • 馬來西亞
    • 吉隆坡
    • 越南
    • 胡志明市
    • 芽莊市
    • 會安
    • 峴港
    • 河內市
    • 印尼
    • 峇里島
    • 馬爾代夫
    • 馬爾代夫
    • 澳洲
    • 墨爾本
    • 悉尼
    • 塔斯曼尼亞
    • 英國
    • 倫敦
    • 牛津
    • 德國
    • 柏林
    • 瑞士
    • 琉森
    • 蘇黎世
    • 法國
    • 巴黎
    • 荷蘭
    • 阿姆斯特丹
    • 西班牙
    • 巴塞隆拿
    • 奧地利
    • 維也納
    • 比利時
    • 布魯塞爾
    • 意大利
    • 威尼斯
    • 羅馬
    • 米蘭
    • 阿聯酋
    • 杜拜
  • 遊玩情報
  • 全球目的地
  • 主題特集
  • 日本攻略
  • 影片專區
  • App獨家
  • 會員專區
    • 我的資料
    • 會員活動
    • 專享優惠
    • 會員通訊
  • U Lifestyle商戶中心
  • 關於我們
關注我們
立即下載U Lifestyle手機應用程式
App Store Play Store
香港經濟日報版權所有©2026
ULifestyle
HK
Travel
Food
Beauty
Blog
e-zone
立即下載 U Lifestyle App
U Lifestyle商戶中心
熱門搜尋:
  • 深圳
  • 澳門
  • 台北
  • 大阪
  • 東京
  • 首爾
  • 曼谷
  • 京都
  • 福岡
  • 廣州
  • 珠海
  • 札幌
UTravel
澳門快閃遊
大灣區快閃遊
機票優惠
內地美食
深圳
深圳

福田羅湖鹽田南山寶安龍崗龍華坪山光明大鵬
日本
Japan Icon 日本旅遊攻略

東京大阪京都神戶奈良福岡沖繩札幌名古屋熊本箱根伊豆鳥取輕井澤
台灣
台灣

台北台中高雄墾丁台南宜蘭台東南投
韓國
韓國

首爾濟州島釜山
全球
向下滑動查看更多目的地
全球

中國
北京上海深圳廣州珠海澳門
泰國
曼谷蘇梅島布吉清邁芭堤雅華欣
新加坡
新加坡
馬來西亞
吉隆坡
越南
胡志明市芽莊市會安峴港河內市
印尼
峇里島
馬爾代夫
馬爾代夫
澳洲
墨爾本悉尼塔斯曼尼亞
英國
倫敦牛津
德國
柏林
瑞士
琉森蘇黎世
法國
巴黎
荷蘭
阿姆斯特丹
西班牙
巴塞隆拿
奧地利
維也納
比利時
布魯塞爾
意大利
威尼斯羅馬米蘭
阿聯酋
杜拜
日本攻略
主題特集
影片專區
會員活動
專享優惠
分享
日本旅遊攻略
facebook share
whatsapp share
threads share
link_share
UTravel
正在閱讀
小女鵝因誤食電線緊急開刀 鵝爸爸在旁一臉心疼引熱議
用 App 開啟
小女鵝因誤食電線緊急開刀 鵝爸爸在旁一臉心疼引熱議

小女鵝因誤食電線緊急開刀 鵝爸爸在旁一臉心疼引熱議

  1. 首頁
  2. 旅遊快訊
  3. 環球熱話
文: 蘇煒婷, U Magazine
2025.01.19
facebook share whatsapp share threads share link share

在泰國暖武里府,一隻因誤食電線而住院的小女鵝成為了網絡焦點!這張可愛的照片中,小女鵝乖巧地躺在病床上,而關切的鵝爸爸在旁守護,讓人心暖不已。究竟這個溫馨又搞笑的故事背後發生了甚麼?

泰國暖武里府的「Panalai Veterinary Hospital」在社交平台上分享了一張可愛的「病人」照片,瞬間引發了網友們的熱議。該位病人是一隻小女鵝,牠因誤食電線而必須緊急開刀,照片中牠乖巧地躺在病床上,露出粉嫩的手術痕跡,旁邊的鵝爸爸則陪伴著。

小女鵝因誤食電線緊急開刀 鵝爸爸在旁一臉心疼引熱議

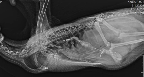
醫院的 X 光顯示,電線卡在小鵝的身體內,必須透過手術才能取出。在麻醉後,醫生為牠剃掉腹部的毛髮並進行手術。術後,小女鵝一臉無辜地攤平在手術床上,兩隻小腳直挺挺地擺著,鵝爸爸則關切地探頭查看,宛如在叮嚀:「下次別再把什麼東西都放進嘴巴裡!」

小女鵝因誤食電線緊急開刀 鵝爸爸在旁一臉心疼引熱議

點擊圖片放大
小女鵝因誤食電線緊急開刀 鵝爸爸在旁一臉心疼引熱議
小女鵝因誤食電線緊急開刀 鵝爸爸在旁一臉心疼引熱議

幸運的是,手術非常成功,小女鵝迅速康復,回家後與飼主和鵝爸爸團聚。網友們也紛紛留言表示喜愛,有人調侃道:「還好是送進手術房不是廚房」。

小女鵝因誤食電線緊急開刀 鵝爸爸在旁一臉心疼引熱議

 

來源:Panalai Veterinary Hospital

  • # 網絡熱話
  • # 手術
  • # 旅遊

UTravel熱門旅遊話題

  • 1
    內地客買1款熱門甜品被禁上機!日本手信禁帶入香港名單誤帶恐坐監
  • 2
    五萬挪威極光團中伏!行李失蹤一套衫著12日苦主怒轟慘過走難 旅行社呻冤也受害
  • 3
    港媽福岡食燒肉求通融免排隊入座惹熱議 遊日免失禮必學4大訂位貼士
  • 4
    機上可用外置充電器?2026尿袋上機最新規定 一文看清中日韓台各地容量限制
  • 5
    晴空塔困𨋢6小時尿急點算?日本電梯救命神椅開箱秒變馬桶有求生物資
【出遊必備】U Community社群送您tomtoc大容量旅行袋!↓
>登記即送,人人有賞!<
【立即睇👀】最新演唱會時間表🎤搶飛情報🎫!↓
附搶飛連結🔗不再錯過演出消息‼️

UTravel熱門旅遊話題

  • 1
    內地客買1款熱門甜品被禁上機!日本手信禁帶入香港名單誤帶恐坐監
  • 2
    五萬挪威極光團中伏!行李失蹤一套衫著12日苦主怒轟慘過走難 旅行社呻冤也受害
  • 3
    港媽福岡食燒肉求通融免排隊入座惹熱議 遊日免失禮必學4大訂位貼士
  • 4
    機上可用外置充電器?2026尿袋上機最新規定 一文看清中日韓台各地容量限制
  • 5
    晴空塔困𨋢6小時尿急點算?日本電梯救命神椅開箱秒變馬桶有求生物資

相關文章

意大利60米長粉紅巨兔獨守山坡20年 未被呵護今剩殘骸腐爛剩皮
行程懶人包
意大利60米長粉紅巨兔獨守山坡20年 未被呵護今剩殘骸腐爛剩皮
遊韓拖板當場爆炸!全房跳電遭飯店罰款 內行揭避雷關鍵:這款拖板出國危險
環球熱話
遊韓拖板當場爆炸!全房跳電遭飯店罰款 內行揭避雷關鍵:這款拖板出國危險
港人遊日一番賞中頭獎引爆「焗爐之亂」!亂插即燒?附海外電器帶回港必睇4大注意事項
購物
港人遊日一番賞中頭獎引爆「焗爐之亂」!亂插即燒?附海外電器帶回港必睇4大注意事項
廣州地鐵年輕男女激戰三老人 網民竟然話打交關地鐵冷氣事?
環球熱話
廣州地鐵年輕男女激戰三老人 網民竟然話打交關地鐵冷氣事?
分享
日本旅遊攻略
facebook share
whatsapp share
threads share
link_share
ajax loader
一站式旅遊及消閒資訊網站
Apple Store Google Play
澳門快閃遊 大灣區快閃遊 機票優惠 內地美食 深圳 日本 台灣 韓國 全球 日本攻略 主題特集 影片專區 會員活動 專享優惠
熱門城市
大阪 台北 香港 東京 曼谷 首爾 深圳 京都 福岡 濟州
熱門標籤
深圳 澳門好去處 東京 大阪 台北 曼谷 首爾 大灣區旅遊 #UGO好去處 #ChillGuide旅遊指南 #環球美食社群熱話 #限時搶 #旅遊團長UU熊 #ULifestyle應用程式 #UJetso禮物放送 #ULifestyle商戶中心
香港經濟日報版權所有©2026